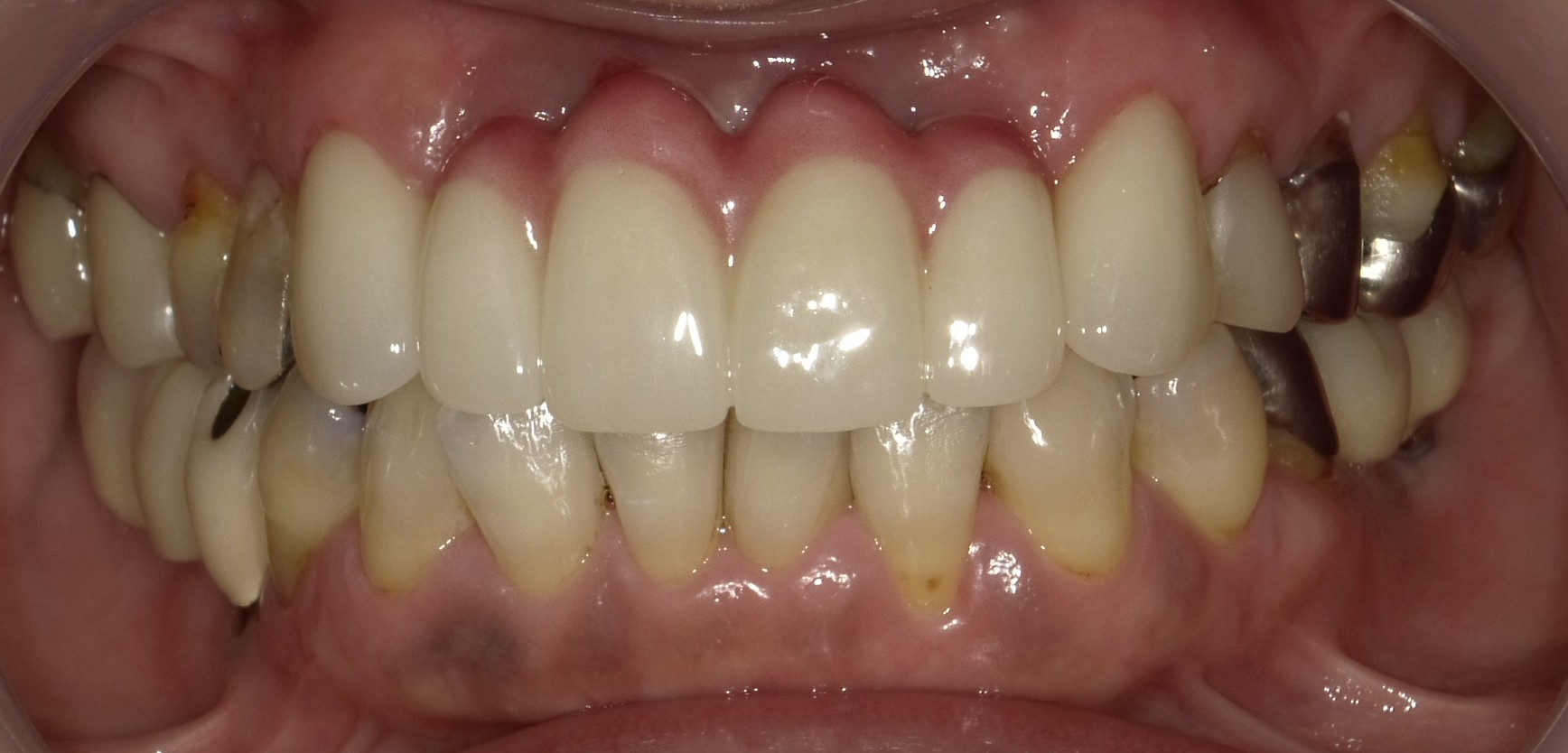
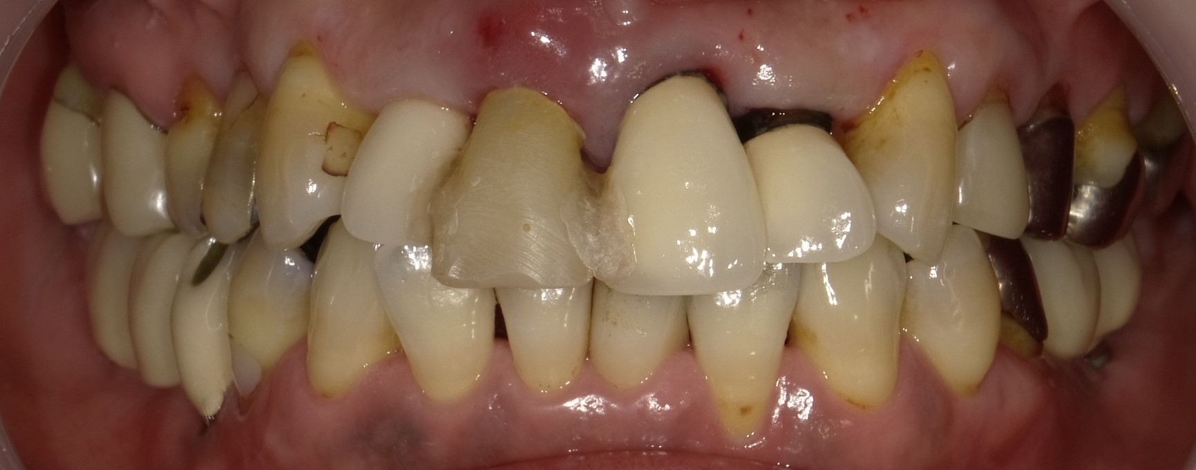
前歯が折れて使えなくなった 前歯の根元の虫歯が進行してしまった 60代 女性ーインプラント・ジルコニアセラミックー



前歯が折れて使えなくなった
前歯の根元の虫歯が進行してしまった
前歯の使えない歯を治してもらったので、
見た目も良くなった。
前歯の印象がかわって、より自信がついた。
インプラント 手術代 1ヶ所:20万円×4
上部構造(歯の部分) 1本:12万円×4
ジルコニアセラミック 1本:12万円×2
20万円×4ヶ所+12万円×4本+12万×4本
=152万円(税別)
通院期間:3ヶ月
インプラントについての解説はこちら
ジルコニアセラミックについての解説はこちら
矯正についての解説はこちら
きさくデンタルクリニック youtubeチャンネル ご登録お願いします。
きさくデンタルクリニック Instagram ご登録お願いします。


