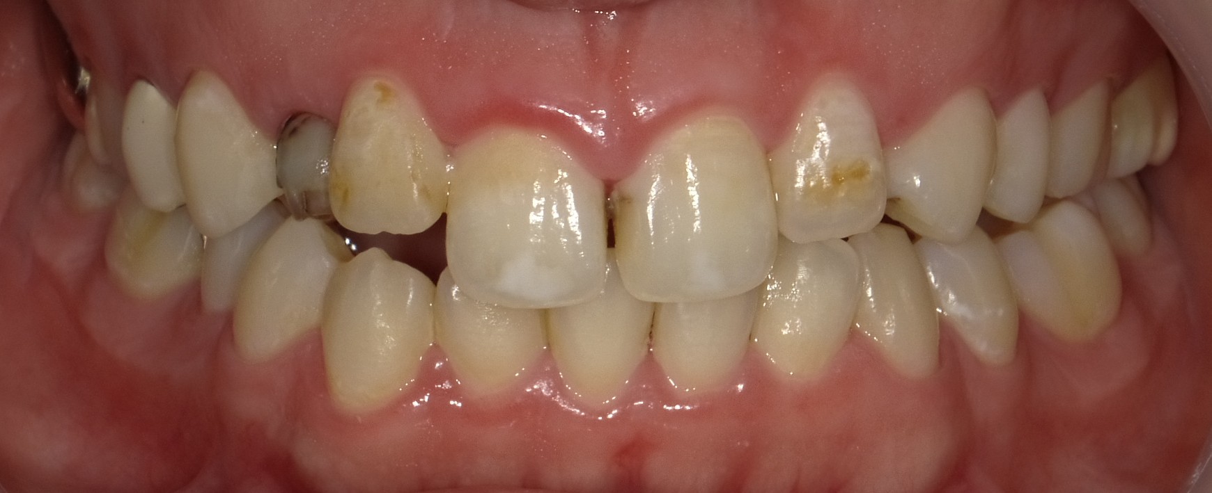
前歯の歯並びと詰め物の変色が気になる 20代 女性ージルコニアセラミックー



前歯の歯並びと
詰め物の変色が気になる
前歯に少しコンプレックスがあり、キレイになりたいとずっと思っていました。
初めてで不安はありましたが、先生方の丁寧であたたかな対応もあり、
完成するのが待ち遠しく感じました。
今まで笑顔に自信がなく、手で隠して笑うことが
癖になっていましたが、今となっては人前で口を隠さず笑うことができ、自信がつきました。
ありがとうございました。
ジルコニアセラミック 1本:12万円×5
12万円×5本=60万円(税別)
通院回数:4回
インプラントについての解説はこちら
ジルコニアセラミックについての解説はこちら
矯正についての解説はこちら
きさくデンタルクリニック youtubeチャンネル ご登録お願いします。
きさくデンタルクリニック Instagram ご登録お願いします。


