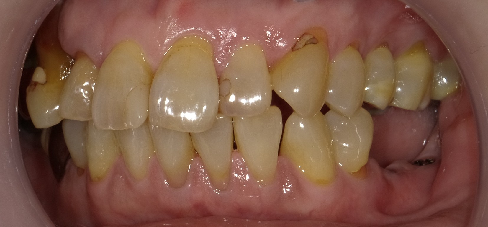
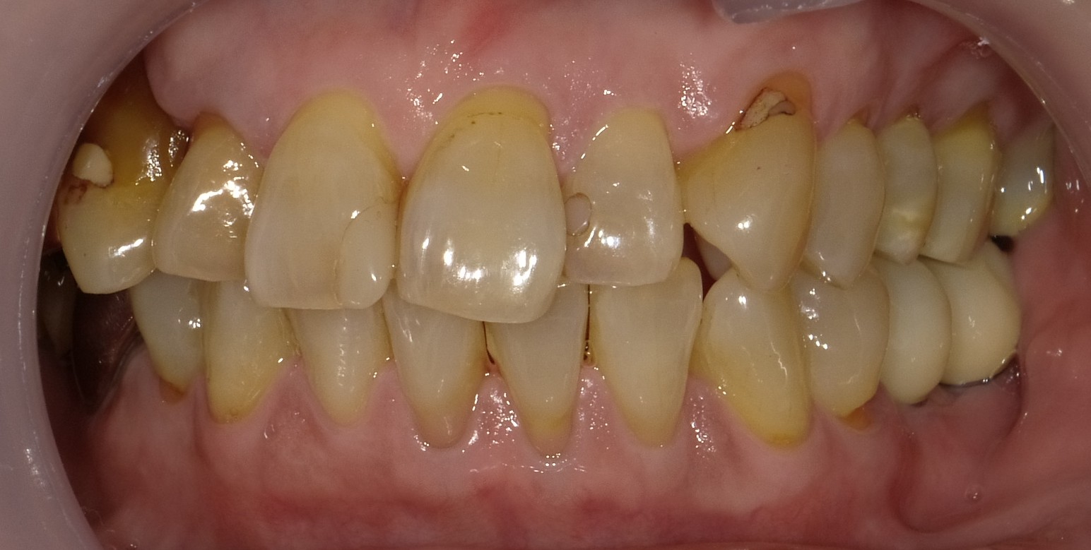
前から入れ歯を作ってもらっていたが バネが見えたり、食べずらくて、 入れ歯を使っていなかった 60代 女性-インプラントー



前から入れ歯を作ってもらっていたが
バネが見えたり、食べずらくて、
入れ歯を使っていなかった
右側の顎が痛くなってしまって、左側もしっかりと
食べられるようにしようと決心がついた。
今ではしっかりと食べられるし、インプラントに
してよかったと思っている。
もっと前からインプラントにしておけばよかったと思う。
インプラント 手術代 1ヶ所:20万円×2
上部構造(歯の部分) 1本:12万円×2
20万円×2ヶ所+12万円×2本
=64万円(税別)
インプラントについての解説はこちら
ジルコニアセラミックについての解説はこちら
矯正についての解説はこちら
きさくデンタルクリニック youtubeチャンネル ご登録お願いします。
きさくデンタルクリニック Instagram ご登録お願いします。


