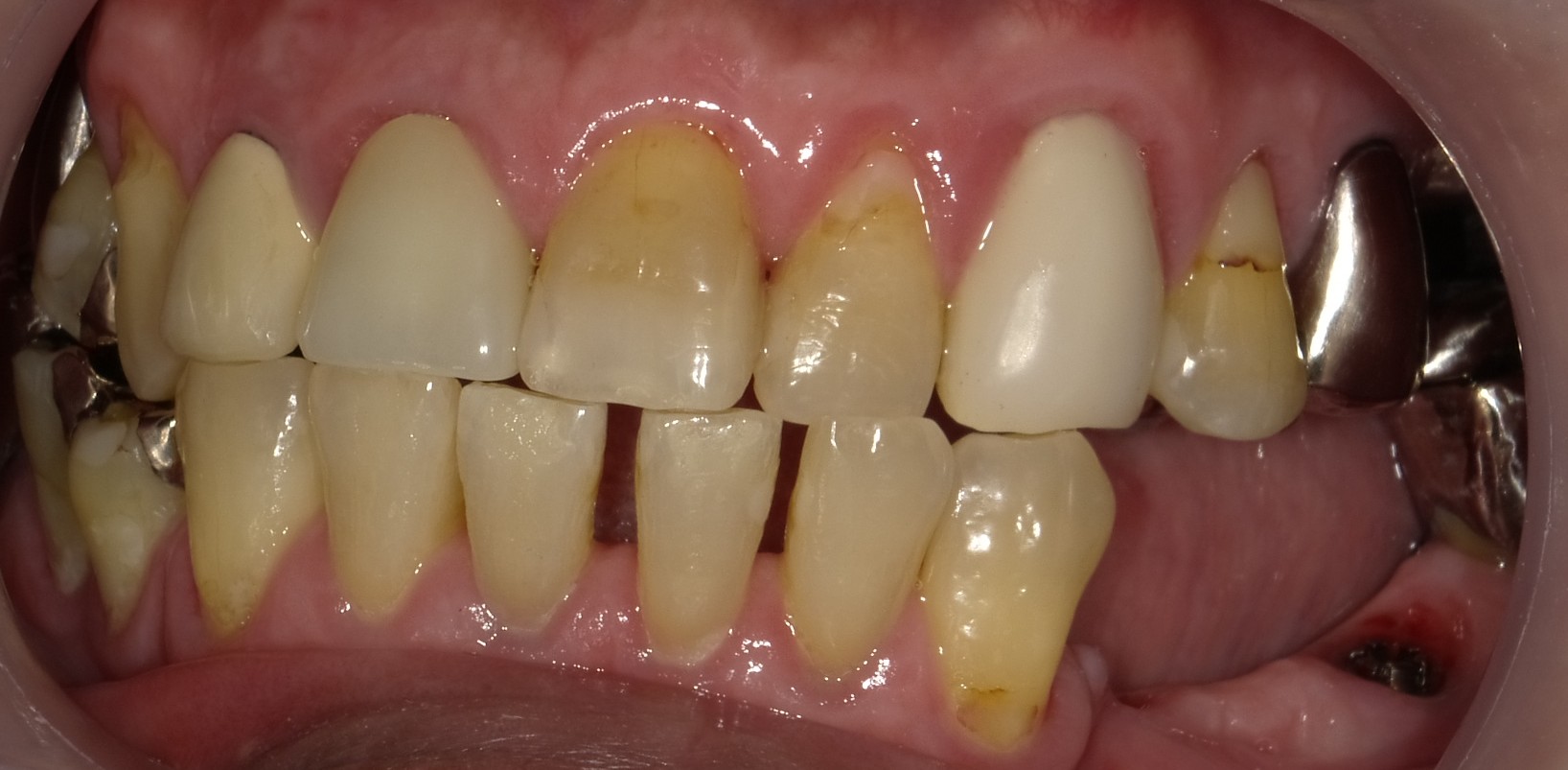
元々2本なくて、奥の1本も抜歯することになり インプラント治療することにした。 50代 男性ーインプラントー



元々2本なくて、奥の1本も抜歯することになり
インプラント治療することにした。
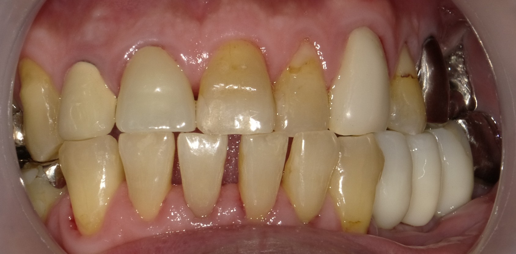
初めは抵抗があった慣れてきたら違和感なく食事も
おいしく食べられてます。
歯の大切さを自覚した。舌触りもツルツルしていて
良い。時間と料金はかかったがインプラントにしてよかった。
インプラント 手術代 1ヶ所:20万円×2
上部構造(歯の部分) 1本:12万円×2
ジルコニアセラミック 1本:12万円×1
20万円×2ヶ所+12万円×2本+12万円×1本
=76万円(税別)
インプラントについての解説はこちら
ジルコニアセラミックについての解説はこちら
矯正についての解説はこちら
きさくデンタルクリニック youtubeチャンネル ご登録お願いします。
きさくデンタルクリニック Instagram ご登録お願いします。


