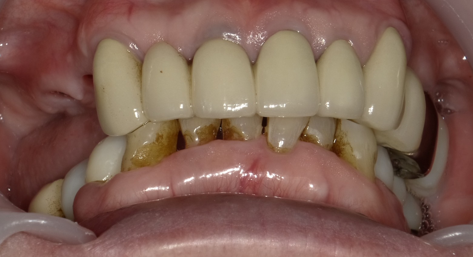
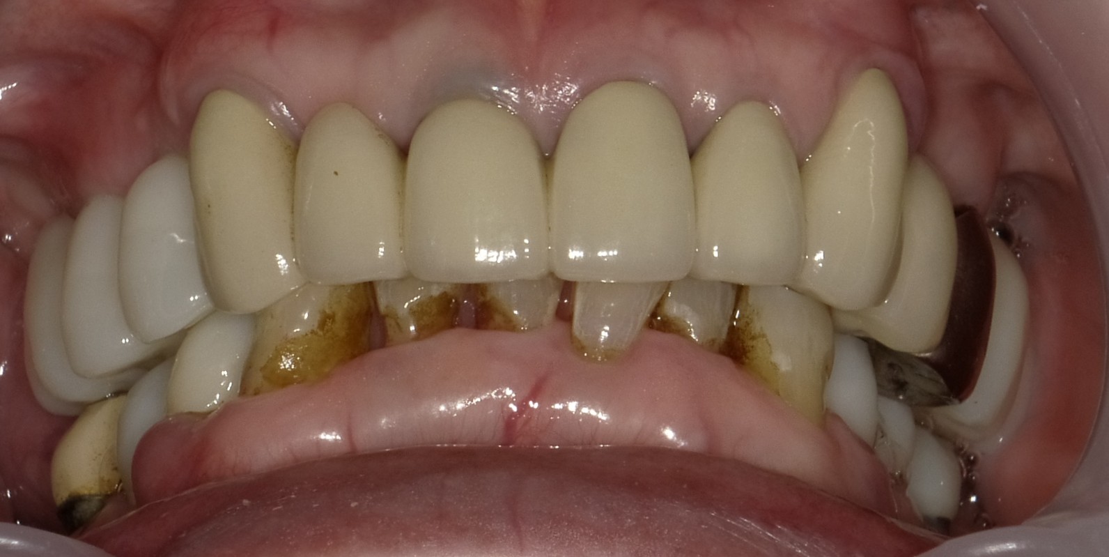
入れ歯をいれていたが 痛くてがまんしていた 70代 女性ーインプラントー



入れ歯をいれていたが
痛くてがまんしていた
思い切ってインプラントを60代の時のようにお願いした。左右しっかりと噛めるようになって自信となった。
これからも元気に長生きできるようおいしいものをたくさん食べて楽しみたい!
インプラント 手術代 1ヶ所:20万円×2
上部構造(歯の部分) 1本:12万円×3
20万円×2ヶ所+12万円×3本
=76万円(税別)
インプラントについての解説はこちら
ジルコニアセラミックについての解説はこちら
矯正についての解説はこちら
きさくデンタルクリニック youtubeチャンネル ご登録お願いします。
きさくデンタルクリニック Instagram ご登録お願いします。


