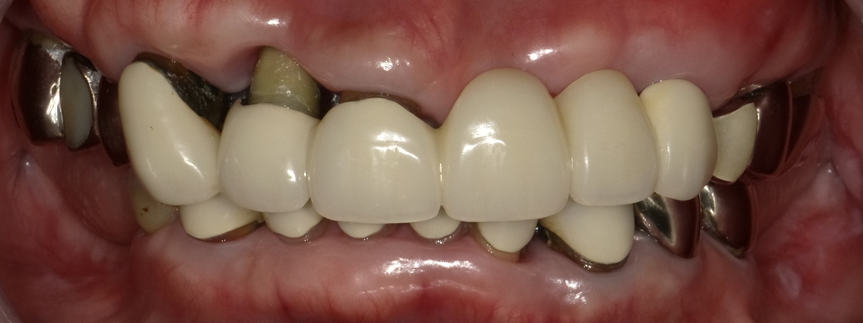
歯が失ってしまった所があったので 被せ物をしていたが、 支えていた歯がダメになってしまった 入れ歯は面倒だったので、 思い切っていインプラントにした。 60代 女性ーインプラントー



歯が失ってしまった所があったので
被せ物をしていたが、
支えていた歯がダメになってしまった
入れ歯は面倒だったので、
思い切っていインプラントにした。
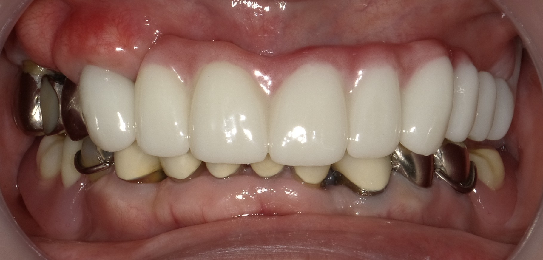
今ではしっかりと食べることができて最高
みんなにインプラントの良さを伝えたい。
インプラントに迷ている人がいれば、
高橋先生にお願いすれば、よくみてくれると思う。
インプラント 手術代 1ヶ所:20万円×4
上部構造(歯の部分) 1本:12万円×7
20万円×4ヶ所+12万円×7本
=164万円(税別)
インプラントについての解説はこちら
ジルコニアセラミックについての解説はこちら
矯正についての解説はこちら
きさくデンタルクリニック youtubeチャンネル ご登録お願いします。
きさくデンタルクリニック Instagram ご登録お願いします。


