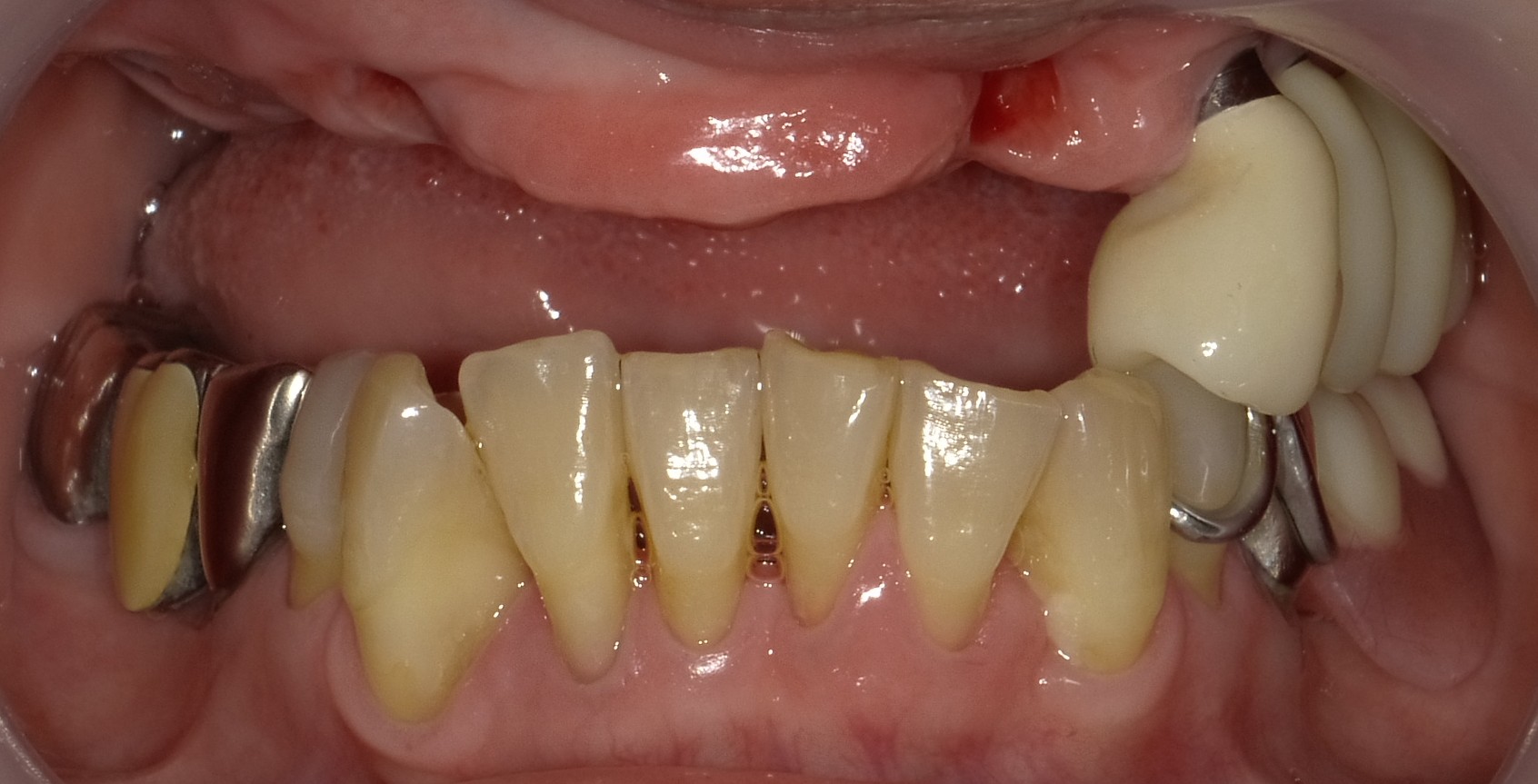
鼻の下あたりが痛くて違和感があり来院 前歯の根っこが折れていた 60代 女性-インプラントー



鼻の下あたりが痛くて違和感があり来院
前歯の根っこが折れていた
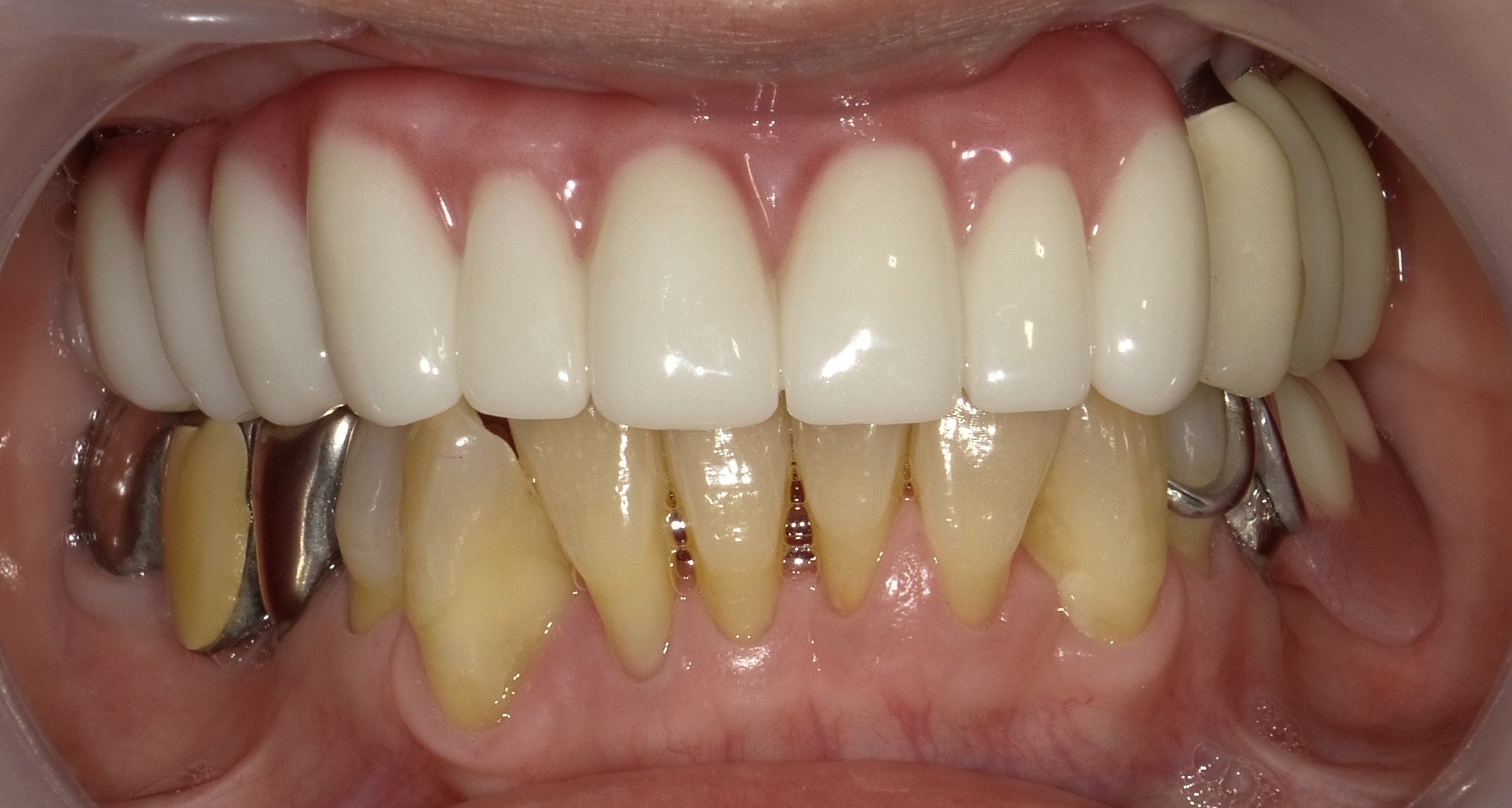
歯周病、八重歯などで磨きにくかったが今は楽になりました。教えてもらったとおりに清掃すれば大丈夫です。先生にお任せして良かったと思いました。
何でも食べられます。
インプラント 手術代 1ヶ所:20万円×5
上部構造(歯の部分) 1本:12万円×10
20万円×5ヶ所+12万円×10本
=220万円(税別)
インプラントについての解説はこちら
ジルコニアセラミックについての解説はこちら
矯正についての解説はこちら
きさくデンタルクリニック youtubeチャンネル ご登録お願いします。
きさくデンタルクリニック Instagram ご登録お願いします。

