前歯の虫歯を治したい 前歯に虫歯があり、広範囲に広がっているため 麻抜してジルコニアセラミックを被せた。 50代 男性ージルコニアセラミックー

Before imageAfter image

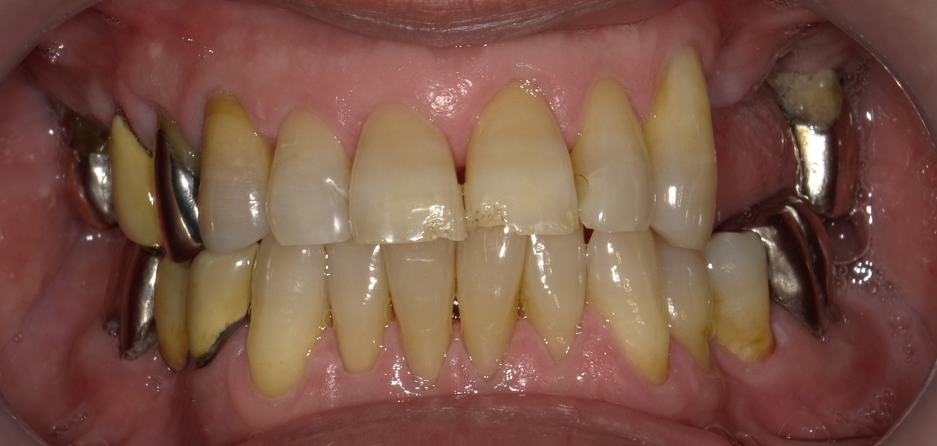
前歯の虫歯を治したい

前歯に虫歯があり、広範囲に広がっているため

麻抜してジルコニアセラミックを被せた。

 

 

前歯の詰め物が黒くて気になっていました。

虫歯も広範囲に広がっているため、

被せ物を被せることにしました。

保険かジルコニアで迷ったが前歯で目立つところなので

ジルコニアセラミックを選びました。

 

 

見た目も機能性も本当の歯と変わらず

とても良かったです。

何より治療の時間もかからず良かったと思いました。

 

ジルコニアセラミック 1本:12万円×6

 

12万円×6本

=72万円(税別)

 

インプラントについての解説はこちら
ジルコニアセラミックについての解説はこちら
矯正についての解説はこちら
きさくデンタルクリニック youtubeチャンネル ご登録お願いします。
きさくデンタルクリニック Instagram ご登録お願いします。