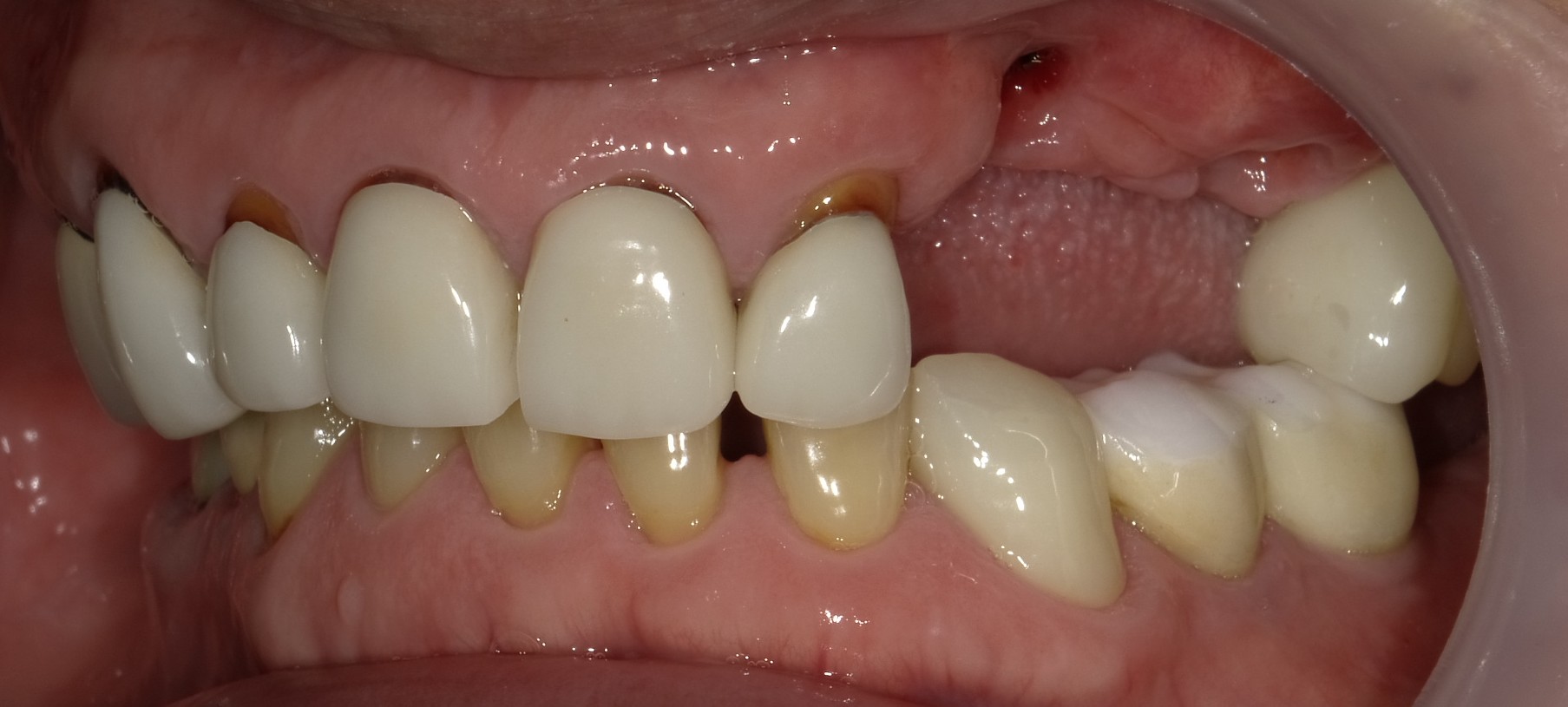
虫歯になって差し歯にしたが グラグラになってしまった。 60代 男性ーインプラントー



虫歯になって差し歯にしたが
グラグラになってしまった。
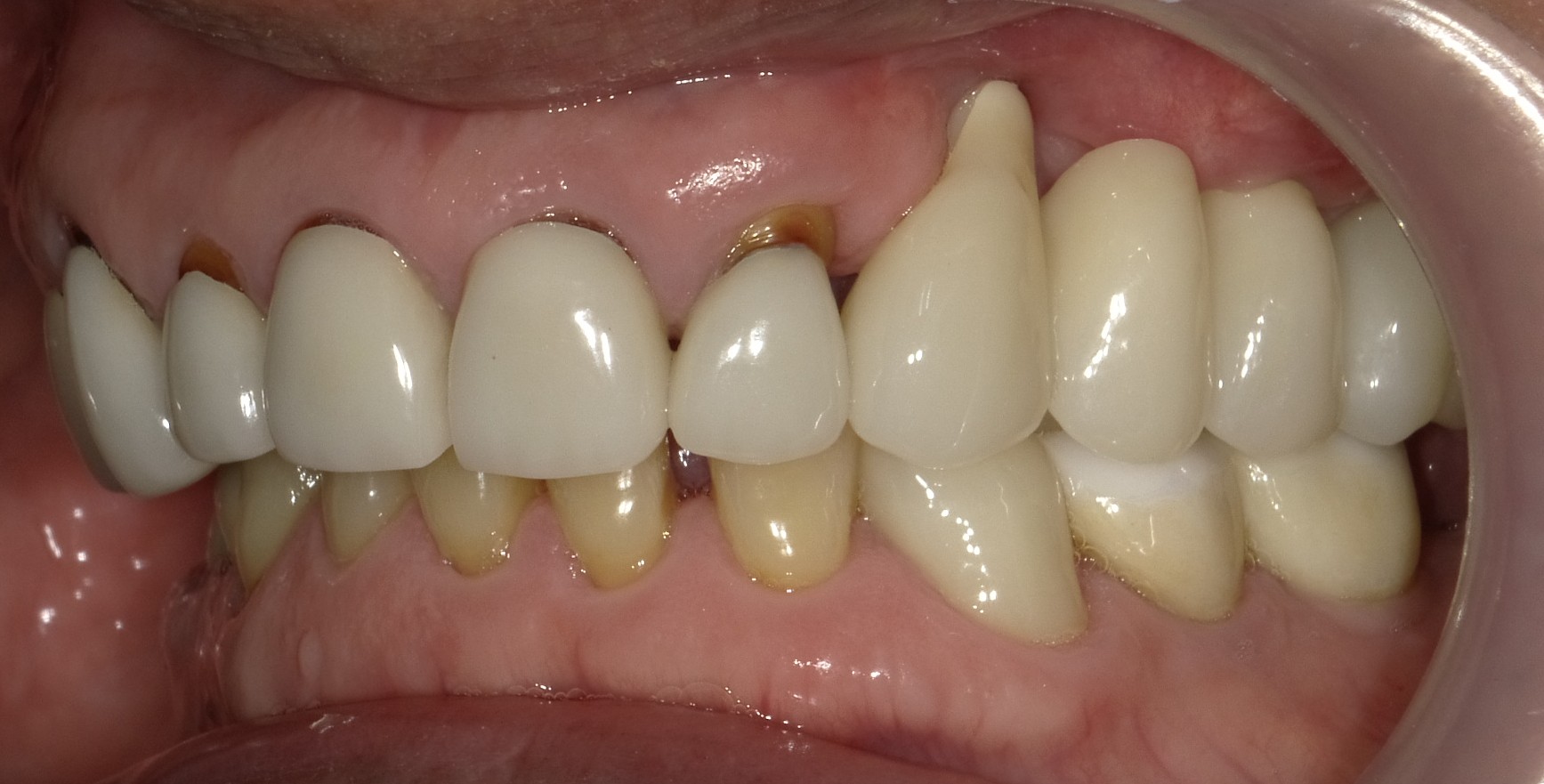
昔は考えながら食べていたが、今は気にせず何でも食べられる!ストレスがなくなった!
かたいものも食べられる!
入れ歯のように外して洗わないのは良い。
入れ歯のように外して洗わないのは良い。
ジェットウォッシャーでお手入れすると結構カンタン。
インプラント 手術代 1ヶ所:20万円×2
上部構造(歯の部分) 1本:12万円×3
20万円×2ヶ所+12万円×3本
=76万円(税別)
インプラントについての解説はこちら
ジルコニアセラミックについての解説はこちら
矯正についての解説はこちら
きさくデンタルクリニック youtubeチャンネル ご登録お願いします。
きさくデンタルクリニック Instagram ご登録お願いします。

