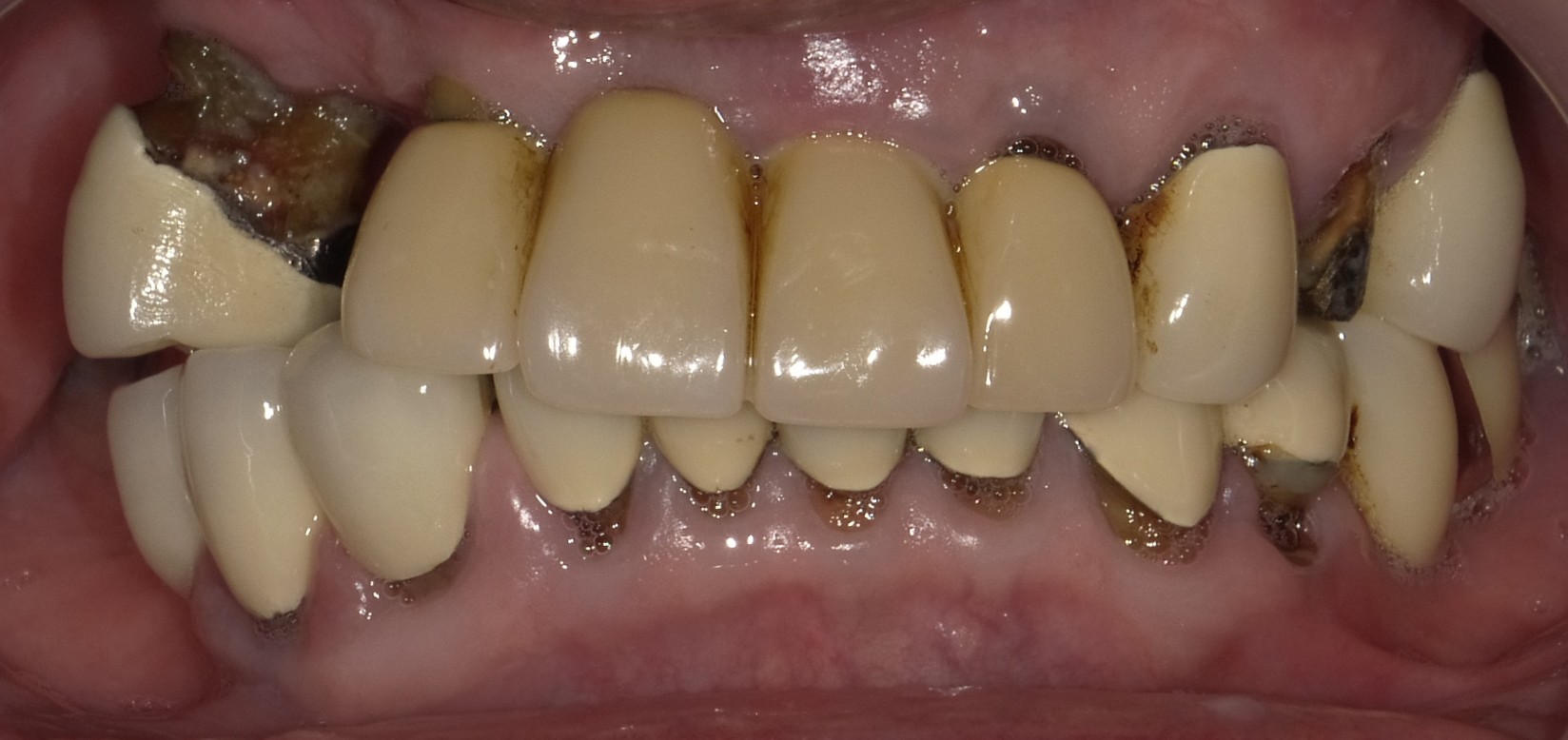
歯がない 口臭が気になる 人前で笑えない 人と会話ができない 60代 男性ーインプラントー



歯がない 口臭が気になる
人前で笑えない 人と会話ができない
治療前は歯がない所があったり、口臭も気になり、
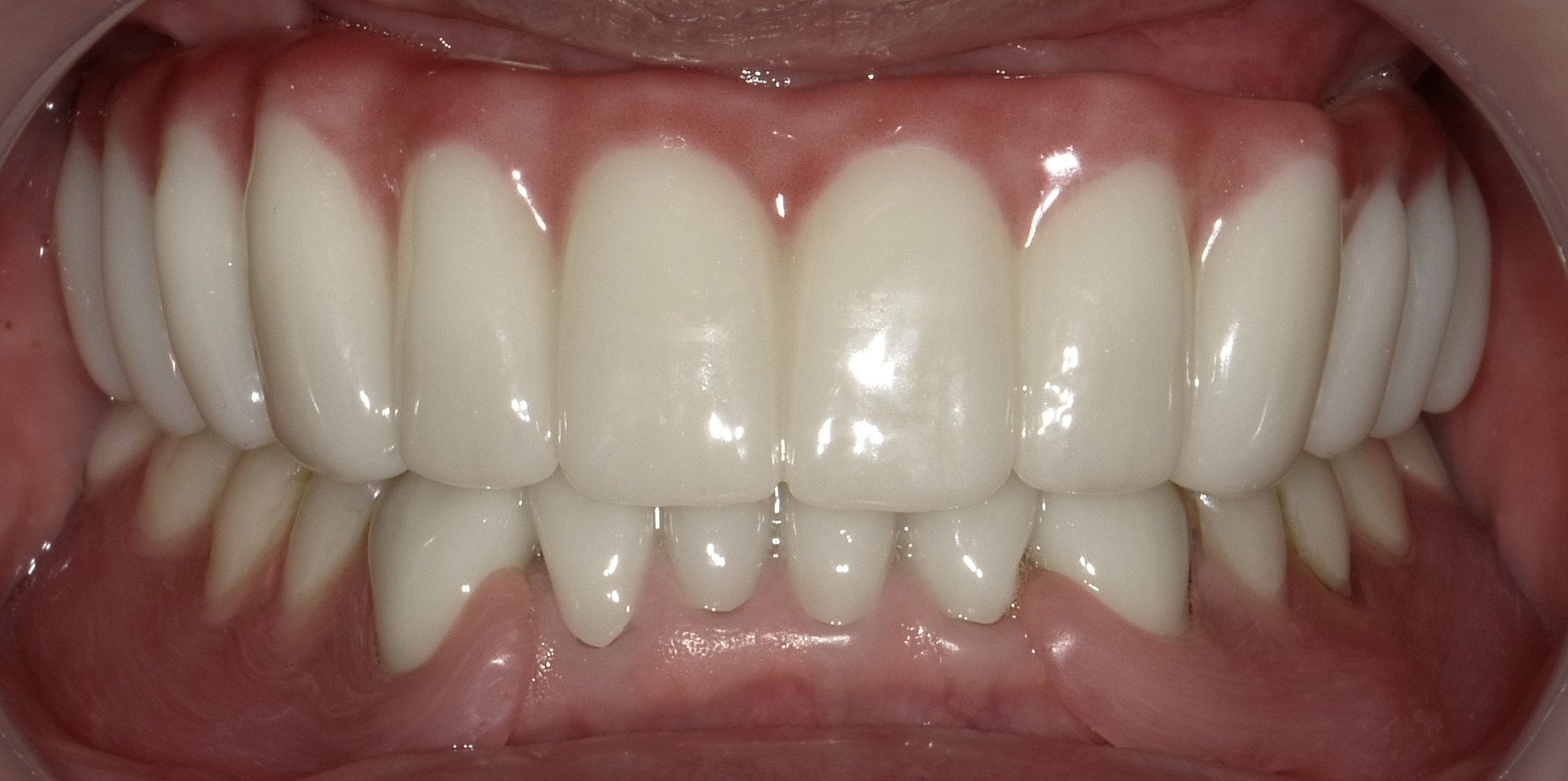
人と話すことが辛かったですがとてもきれいな歯に仕上がり、人との会話も楽しく生活しております。
また、予算に合わせた治療プランを提案していただき、感謝しております。ぜひ、歯で悩んでいる方は
一度きさくさんに相談してみると良いと思います。
ありがとございました。
インプラント 手術代 1ヶ所:20万円×8
上部構造(歯の部分) 1本:12万円×14
ジルコニアセラミック 1本:12万円×6
ノンクラスプデンチャー :30万円
20万円×8ヶ所+12万円×14本+12万×6本+30万円
=430万円(税別)
インプラントについての解説はこちら
ジルコニアセラミックについての解説はこちら
矯正についての解説はこちら
きさくデンタルクリニック youtubeチャンネル ご登録お願いします。
きさくデンタルクリニック Instagram ご登録お願いします。


