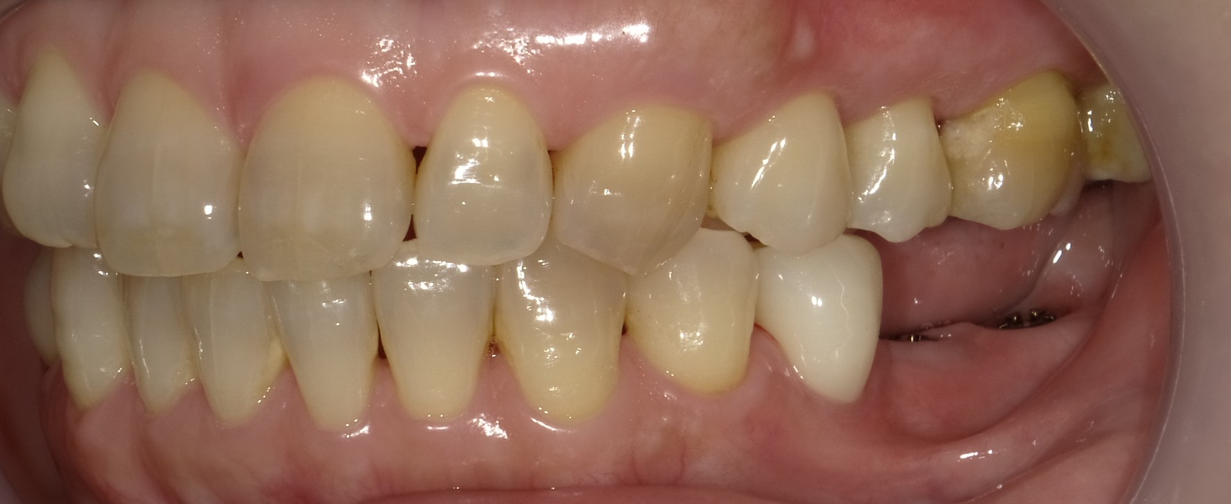
奥歯にヒビが入ってしまい歯を抜くことになった 50代 女性ーインプラントー



奥歯にひびが入ってしまい
歯を抜くことになった
そのままにしていたが、どうにかしようと思った。
妹はインプラントをしていて、調子が良いと聞いていた。妹からすすめられて、インプラントをした。
今では、お手入れも楽だし、昔と変わらずに
食事を楽しめて、とても良かったと思う。
インプラント 手術代 1ヶ所:20万円×2
上部構造(歯の部分) 1本:12万円×3
20万円×2ヶ所+12万円×3本
=76万円(税別)
インプラントについての解説はこちら
ジルコニアセラミックについての解説はこちら
矯正についての解説はこちら
きさくデンタルクリニック youtubeチャンネル ご登録お願いします。
きさくデンタルクリニック Instagram ご登録お願いします。

