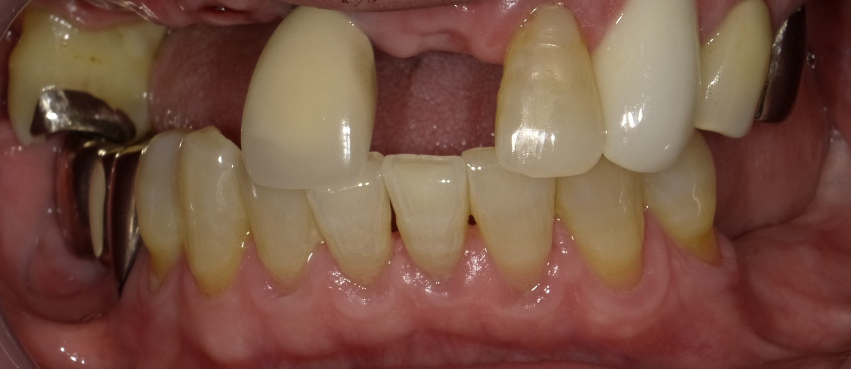
右上のブリッジの下が虫歯になってしまい痛みが出てしまった                     60代 男性-インプラントー

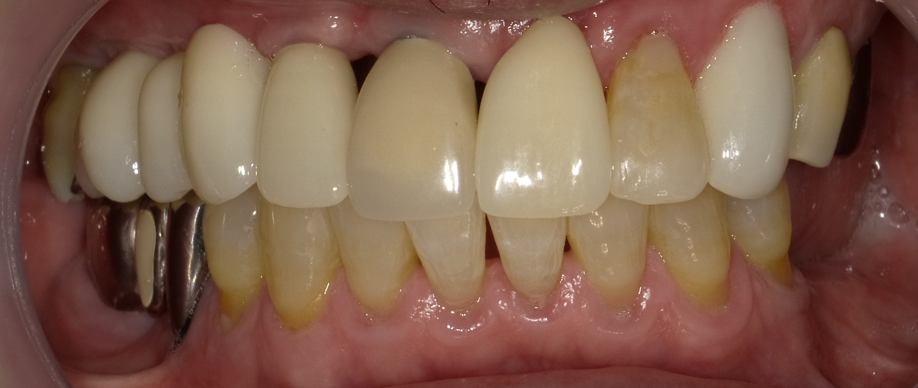
Before imageAfter image

 

右上のブリッジの下が

虫歯になってしまい

痛みが出てしまった

 

最初は自分の歯のようには行かないのだろうと

思っていたが、違和感なく他の自分の歯と同じ様に噛めていてインプラントをやってもらって良かった。

 

先生も数をこなしているだけあって、

スムーズに処置してくれ感動した。

前歯は根破折により埋入した。

前歯も同様にインプラント処置です。

 

インプラント 手術代 1ヶ所:20万円×4

上部構造(歯の部分) 1本:12万円×5

 

20万円×4ヶ所+12万円×5本

=140万円(税別)

 

インプラントについての解説はこちら
ジルコニアセラミックについての解説はこちら
矯正についての解説はこちら
きさくデンタルクリニック youtubeチャンネル ご登録お願いします。
きさくデンタルクリニック Instagram ご登録お願いします。