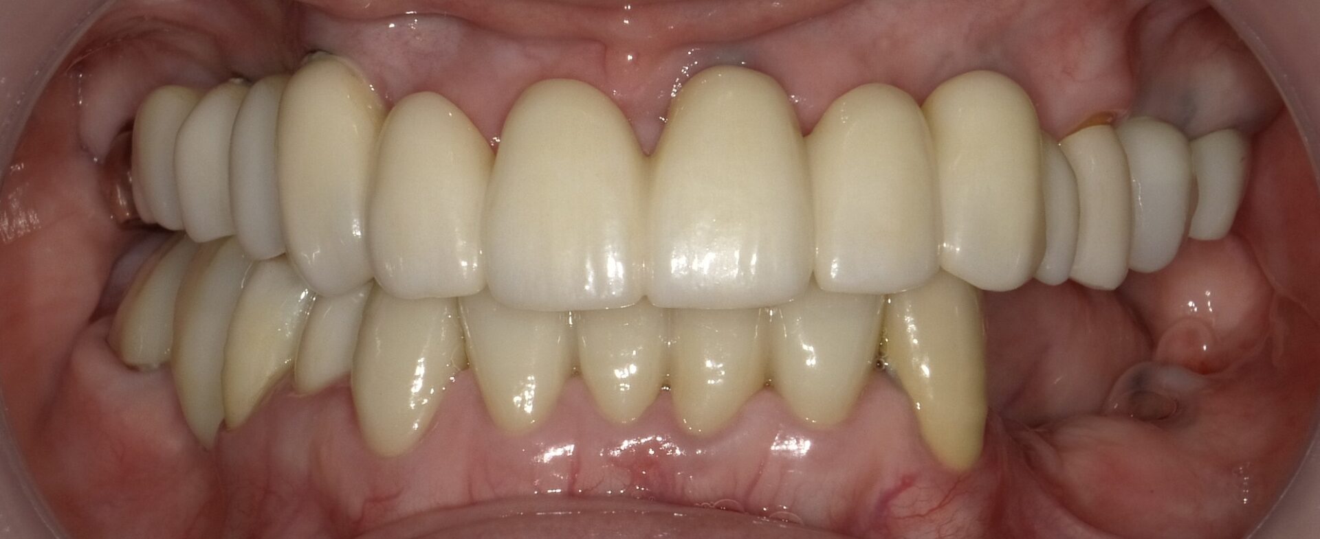
左下のブリッジがグラグラしてダメになってしまった 60代 女性ーインプラントー



左下のブリッジがグラグラして
ダメになってしまった
他の歯もインプラントをしているので左下も
インプラントにしようと決めていた。
また、自分の歯のようによみがえるので、うれしい。
院長の手術は早くて痛みもないので安心している。
インプラント 手術代 1ヶ所:20万円×3
上部構造(歯の部分) 1本:12万円×4
20万円×3ヶ所+12万円×4本
=108万円(税別)
通院期間:3ヶ月
インプラントについての解説はこちら
ジルコニアセラミックについての解説はこちら
矯正についての解説はこちら
きさくデンタルクリニック youtubeチャンネル ご登録お願いします。
きさくデンタルクリニック Instagram ご登録お願いします。


