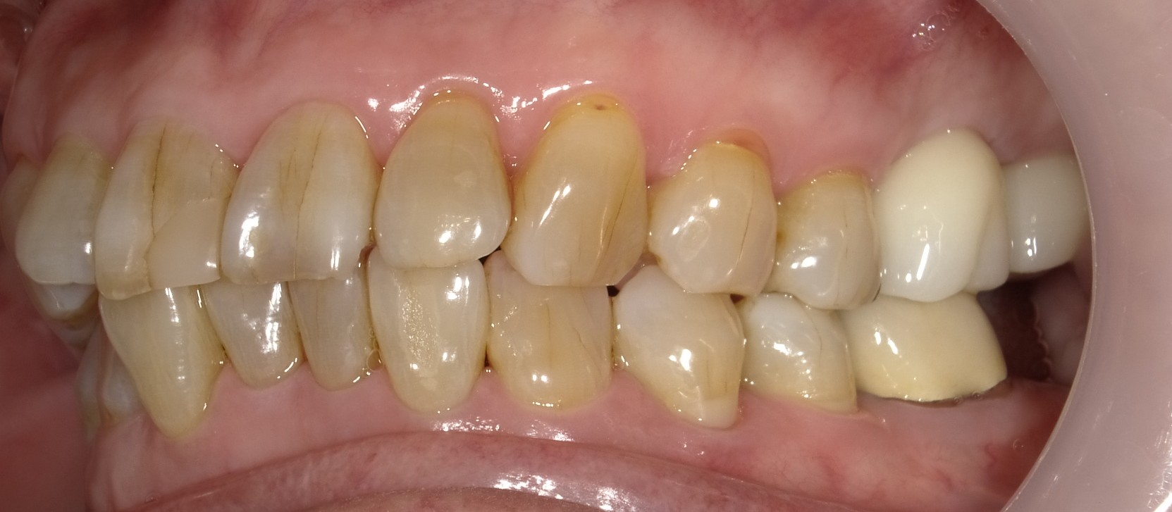
他の歯医者で治療してもらった歯が ダメになってしまった。 70代 女性ーインプラントー 70代 女性ーインプラントー



他の歯医者で治療してもらった歯が
ダメになってしまった。
家族がインプラントをしていた。調子がよく何でも
食べることができ、喜んでいたので迷いもなく、
インプラントにしてもらった。今は、自分の歯のようでインプラントにしてよかったと思っている。
インプラント 手術代 1ヶ所:20万円×1
上部構造(歯の部分) 1本:12万円×1
20万円×1ヶ所+12万円×1本
=32万円(税別)
インプラントについての解説はこちら
ジルコニアセラミックについての解説はこちら
矯正についての解説はこちら
きさくデンタルクリニック youtubeチャンネル ご登録お願いします。
きさくデンタルクリニック Instagram ご登録お願いします。


