上の前歯がとびでていて 下唇にあたって痛い 前歯の歯並びが気になる 40代 男性ージルコニアセラミックー



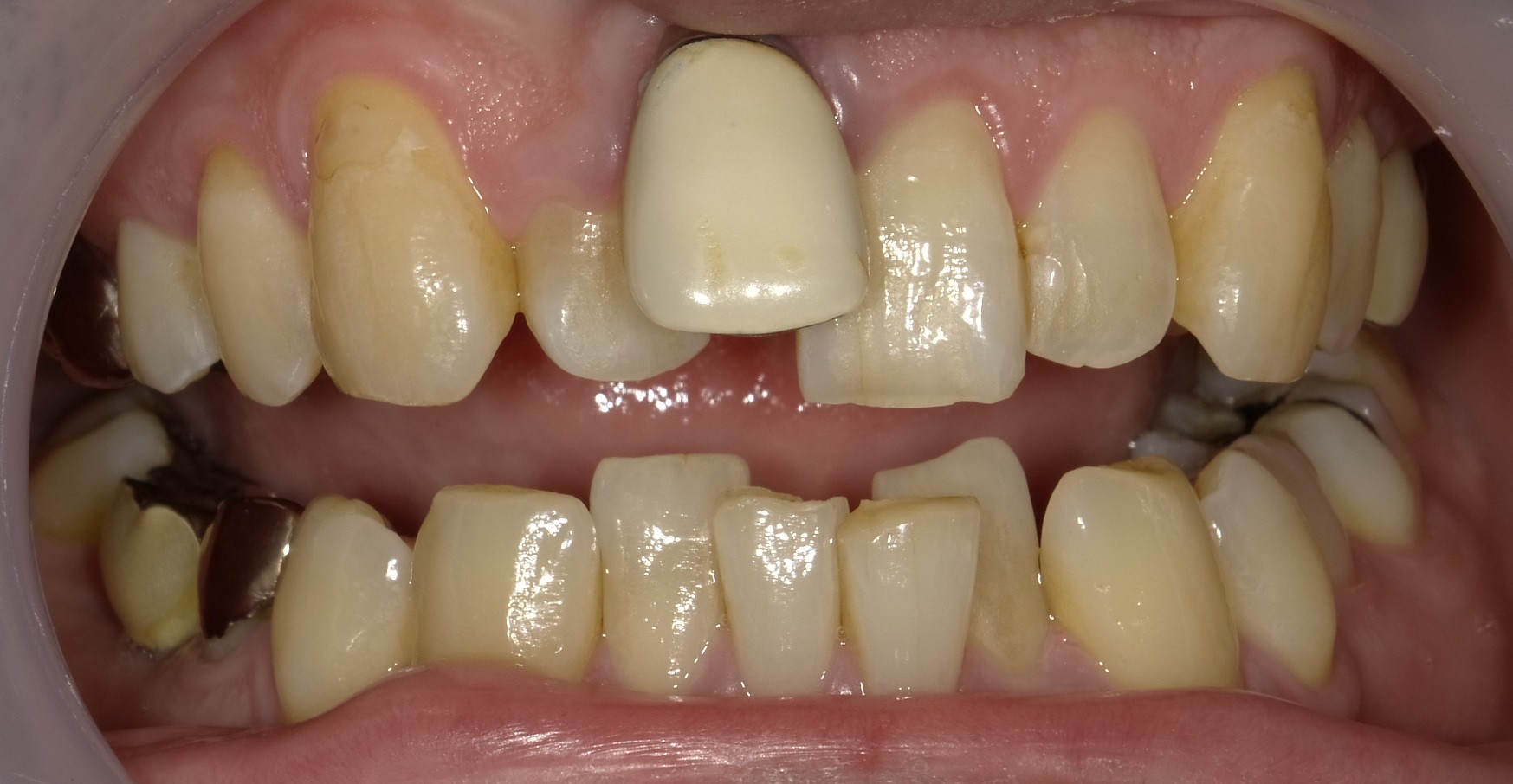
上の前歯がとびでていて
下唇にあたって痛い
前歯の歯並びが気になる
前歯の歯並びが悪くて、飛び出している歯が下唇にあたっていたので気になっていた。
歯科矯正も考えたが期間がかかるのでやめました。
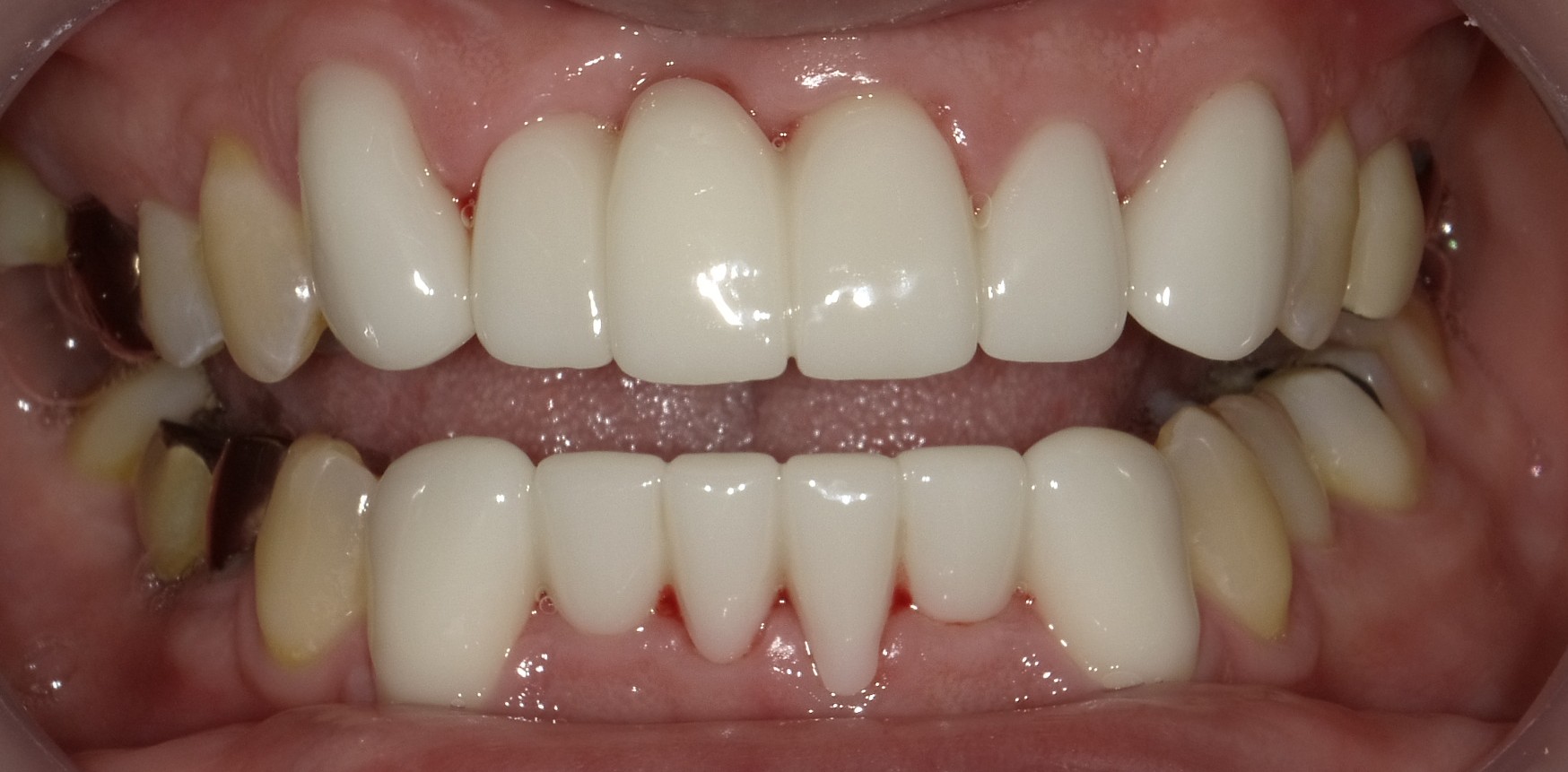
ジルコニアセラミックで治療期間が短く
歯並びがきれいになり満足しています。
口元に自信がついたので、口元を隠さずに喋れるようになり、写真も笑顔で撮れるようになりました。
ジルコニアセラミック 1本:12万円×12
12万×12本=144万円(税別)
インプラントについての解説はこちら
ジルコニアセラミックについての解説はこちら
矯正についての解説はこちら
きさくデンタルクリニック youtubeチャンネル ご登録お願いします。
きさくデンタルクリニック Instagram ご登録お願いします。

