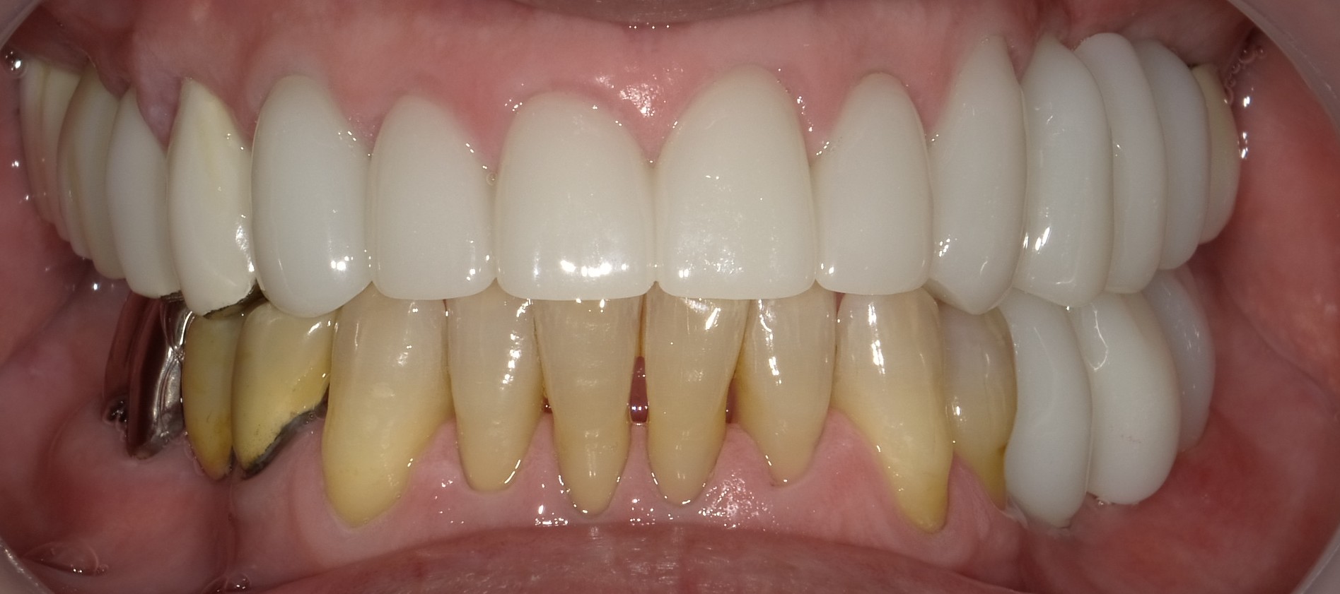
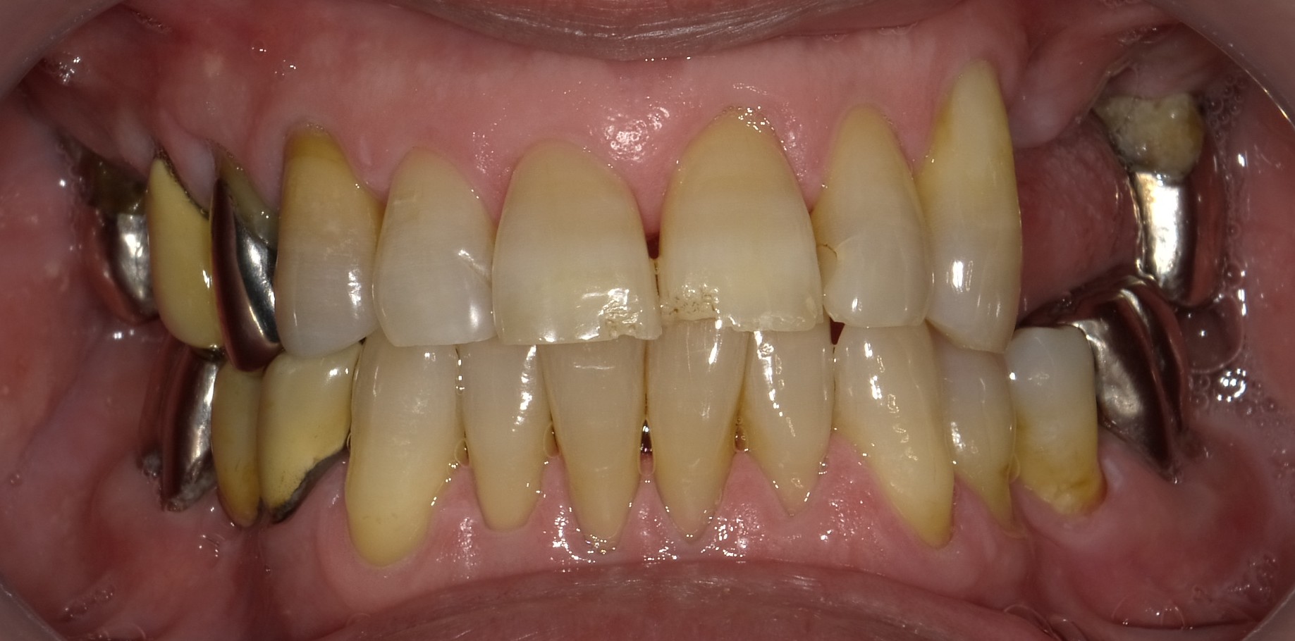
ブリッジでつながっていた所が歯周病でグラグラして歯を抜くことになった 50代 男性ーインプラントー



ブリッジでつながっていた所が
歯周病でグラグラして
歯を抜くことになった
笑う時に銀歯が見えるのが気になっていた
前から少しずつお金をためて、今後しっかりと
食べることのできる歯で痛いと思っていた。
今では見た目も食事の楽しみもできて、うれしい。
インプラント 手術代 1ヶ所:20万円×4
上部構造(歯の部分) 1本:12万円×4
ジルコニアセラミック 1本:12万円×12
ジルコニアセラミック(奥歯)1本:10万円×1
20万円×4ヶ所+12万円×4本+12万円×10
=234万円(税別)
通院期間:6ヶ月
お気軽にお問合せ下さい。
インプラントについての解説はこちら
ジルコニアセラミックについての解説はこちら
矯正についての解説はこちら
きさくデンタルクリニック youtubeチャンネル ご登録お願いします。
きさくデンタルクリニック Instagram ご登録お願いします。


