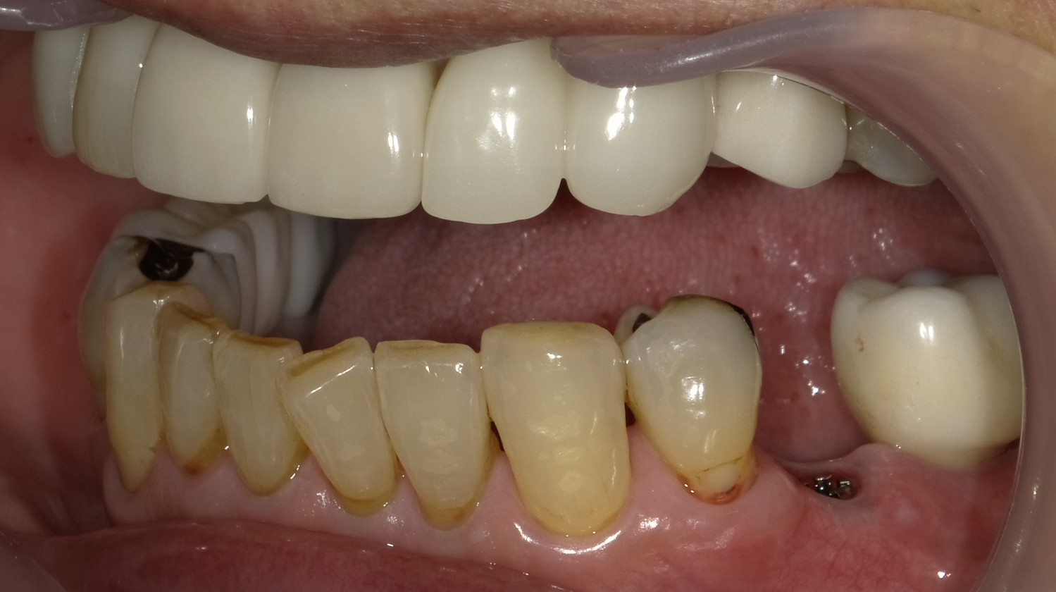
グラグラする 70代 男性ーインプラントー



元々歯の根っこが短かった。
歯の揺れが大きくなってきたため抜歯した。
今まで思い切り咬めなかった物も、
今では不安なく咬める。
インプラントについての解説はこちら
ジルコニアセラミックについての解説はこちら
矯正についての解説はこちら
きさくデンタルクリニック youtubeチャンネル ご登録お願いします。
きさくデンタルクリニック Instagram ご登録お願いします。



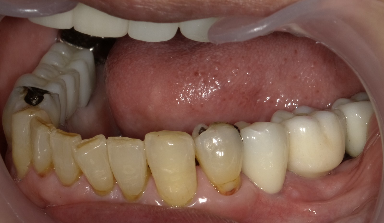
元々歯の根っこが短かった。
歯の揺れが大きくなってきたため抜歯した。
今まで思い切り咬めなかった物も、
今では不安なく咬める。
インプラントについての解説はこちら
ジルコニアセラミックについての解説はこちら
矯正についての解説はこちら
きさくデンタルクリニック youtubeチャンネル ご登録お願いします。
きさくデンタルクリニック Instagram ご登録お願いします。