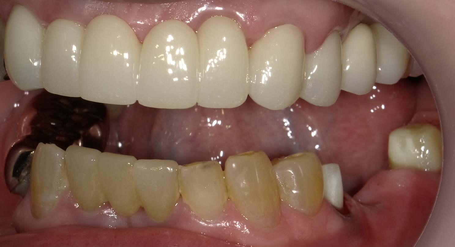
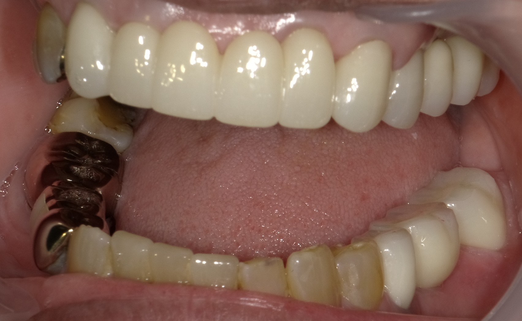
上奥歯がグラグラしてかめない 60代 女性ーインプラントー



上奥歯がグラグラしてかめない
ぐらぐらして痛みがあったので、食事をしても丸飲みしている
様な状況だった。大好きなステーキやおせんべいも
ガマンすることが増えた。
思いきってインプラントにしたら、好物も食べられる事に感動!
食べる事が大好きなのでインプラントにして良かったし、
これからも食事を楽しみたい。
インプラント 手術代 1ヶ所:20万円×1
上部構造(歯の部分) 1本:12万円×1
20万円×2ヶ所+12万円×3本
=76万円(税別)
インプラントについての解説はこちら
ジルコニアセラミックについての解説はこちら
矯正についての解説はこちら
きさくデンタルクリニック youtubeチャンネル ご登録お願いします。
きさくデンタルクリニック Instagram ご登録お願いします。


