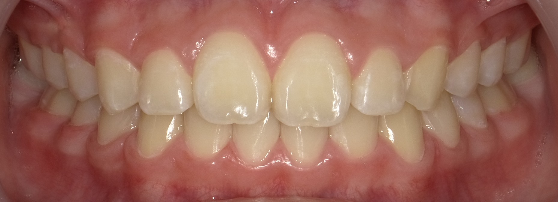
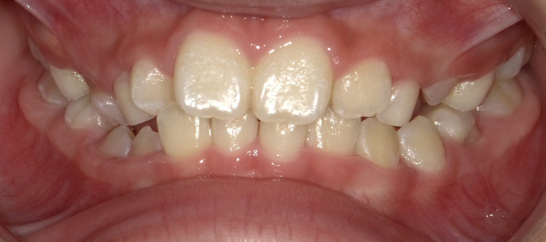
歯並びが気になる かみ合わせが気になる 10代 女性ー矯正ー



大人の歯が萌えてきても奥歯でよく食べられなかった。
すき間があいていたのが気になっていた。
装置の見た目や異物感が嫌だったが、今では歯並びもきれいになり、
奥歯でもしっかり噛めて頑張って良かったです。
矯正料(マルチブラケット法):80万円(税別)
その他の費用
月々の調整料:8,000円
リテーナー:2万円~3万円
インプラントについての解説はこちら
ジルコニアセラミックについての解説はこちら
矯正についての解説はこちら
きさくデンタルクリニック youtubeチャンネル ご登録お願いします。
きさくデンタルクリニック Instagram ご登録お願いします。


