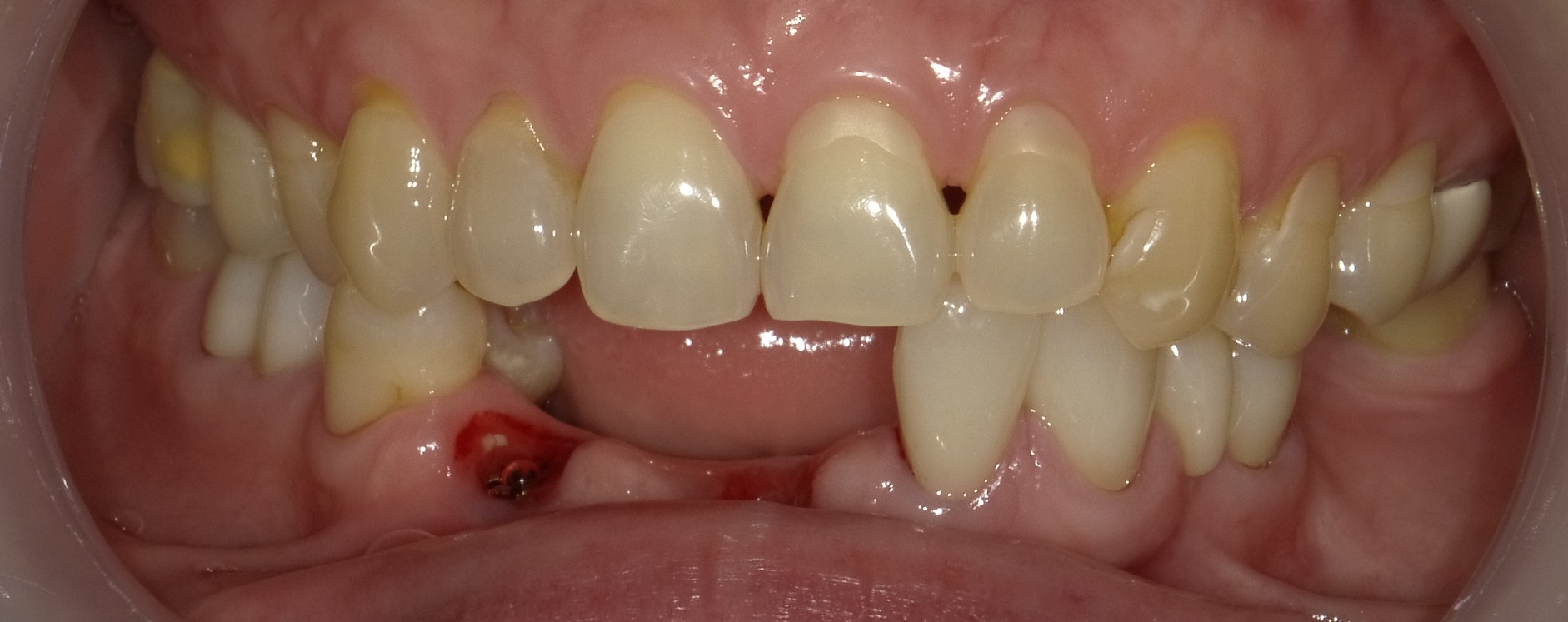
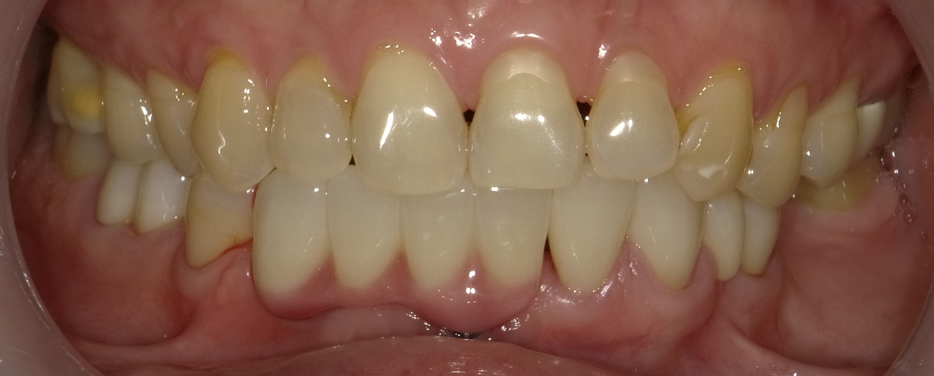
歯の根に膿がたまって痛くて抜いた 40代 女性ーインプラントー



インプラントを2本入れることにより
健康な歯を削ることなくブリッジにできた。
自分の歯と同じように使えているご様子です。
インプラント 手術代 1ヶ所:20万円×2
上部構造(歯の部分) 1本:12万円×4
20万円×2ヶ所+12万円×4本
=88万円(税別)
インプラント治療のリスク
・術後に痛みや腫れが起こる場合があります。
処方された痛み止めを服用してください。
・上顎にインプラントを埋入する場合、
治療後は鼻血が出やすくなっているため、術後1週間程度は
強く鼻をかんだり激しくくしゃみをしたりしないようにしてください。
・喫煙は、術後の回復を妨げてしまいますので、医師の指示通り控えてください。
・激しい運動や入浴、飲酒は血行が促進され、出血や痛みの原因となりますので、
手術当日はお控えください。シャワー程度であれば問題ありません。
・術後しばらくは、傷口に負担をかけないように、
治療を行った箇所で噛まないようにしてください。
・指や舌で傷口を触ると、細菌感染のリスクが高まります。
インプラントについての解説はこちら
ジルコニアセラミックについての解説はこちら
矯正についての解説はこちら
きさくデンタルクリニック youtubeチャンネル ご登録お願いします。
きさくデンタルクリニック Instagram ご登録お願いします。

